Диетологи не устают повторять, что наше здоровье зависит от кишечника. И мы иногда даже не представляем, насколько. Да чего там, даже сами диетолги в этом до конца не разобрались. Вот, например, специалисты из Университета Юты недавно проводили исследования и в микробиоме особый тип бактерий — Turicibacter. И они способны блокировать набор веса. Пока это открытие справедливо только для мышей.
В статье, опубликованной в журнале Cell Metabolism, авторы исследования рассказали, что в целом наличие бактерий, способных предотвратить увеличение веса у мышей, не новость. Вот только дело в том, что раньше искать «ту самую» приходилось среди большой группы из примерно 100 бактерий. Не потому, что их много, а из-за того, что микробиота не любит жить вне кишечника.
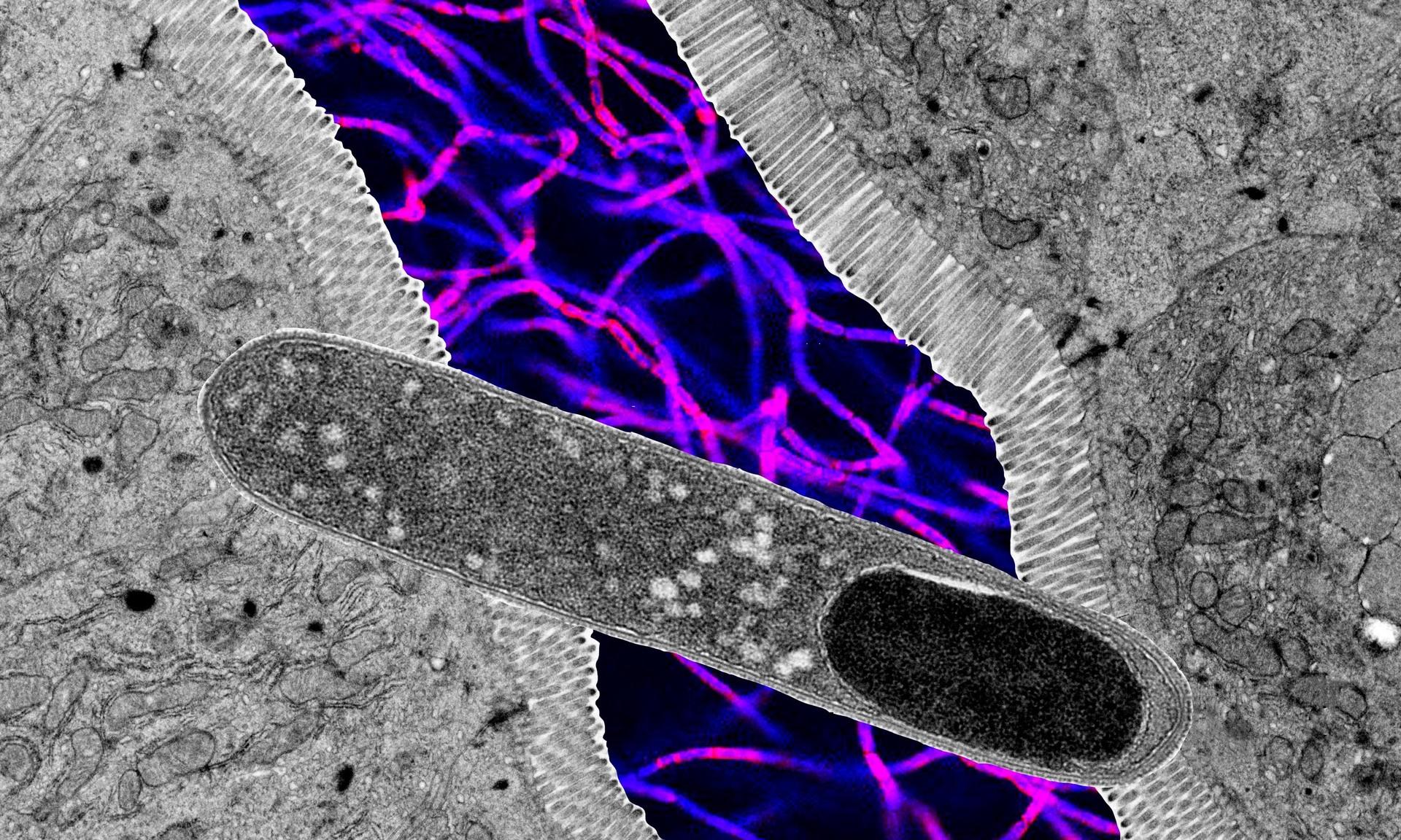
Тем не менее, отважная Кендра Клаг, доктор медицинских наук и студентка Медицинской школы Спенсера Фокса Экклса при Университете Юты потратила несколько лет, культивируя отдельные микробы, и в результате обнаружила ее — палочковидную бактерию под названием Turicibacter. Выяснилось, что эта бактерия может самостоятельно снижать уровень сахара и жира в крови, а еще поддерживать в норме вес мышей, находящихся на диете с высоким содержанием жиров, то есть не давать грызунам располнеть.
«Я не думала, что один микроб окажет такое сильное воздействие — я предполагала, что это будет смесь из трех или четырех, — рассказала старший автор статьи, профессор микробиологии и иммунологии Джун Раунд.
Авторы статьи предполагают, что бактерии рода Turicibacter способствуют улучшению метаболизма, вырабатывая жировые молекулы, которые всасываются в тонком кишечнике. Бактерия производит тысячи различных жиров, и пока исследователи не знают, какие именно молекулы дают тот самый эффект, но надеются выявить их в будущих трудах.
Пока ученые могут с уверенностью сказать, что жиры, вырабатываемые бактериями Turicibacter, способны поддерживать низкий уровень жировых бактерий церамидов даже у мышей, чей рацион содержит высокое содержание жиров. А высокий уровень церамидов, в свою очередь, связан со многими метаболическими расстройствами, включая диабет второго типа и болезни сердца.
Кроме того, исследователи обнаружили, что уровень бактерий Turicibacter зависит от количества жиров в рационе «хозяина». Если их будет слишком много, бактерия перестанет размножаться, и ее придется вводить искусственно. Таким образом, жирная диета подавляет активность Turicibacter, а вырабатываемые бактерией жиры улучшают реакцию организма на пищевые жиры.
Исследователи уточняют, что Turicibacter, вероятно, не единственная бактерия, способная контролировать вес, да и результаты, полученные на животных, могут не сработать с людьми. Однако они надеются, что Turicibacter может стать отправной точкой для разработки методов лечения, способствующих здоровому метаболизму и предотвращающих чрезмерное увеличение веса.
«Выявление того, какой именно липид оказывает такое воздействие, станет одним из важнейших направлений исследований в будущем. Как с научной точки зрения, поскольку мы хотим понять, как он работает, так и с терапевтической», — объясняет Джун Раунд.
«Благодаря дальнейшему исследованию отдельных микробов мы сможем превратить микробы в лекарства и найти бактерии, которые можно безопасно использовать для создания объединения различных микроорганизмов, которых может не хватать людям с различными заболеваниями», — добавляет Кендра Клаг.
Вы хотели бы много есть и не набирать вес?
- 78.2%Да
- 10.9%Нет
- 7.3%Я и так много ем и не толстею — повезло!
- 3.6%Я и так много ем и не толстею — спорт, много нагрузки, ЗОЖ!
А пока исследователи волшебную таблетку не изобрели, нам пригодятся 8 лайфхаков для умеренного питания от диетолога.
